Book your consultation
location icon email icon phone icon
Before After
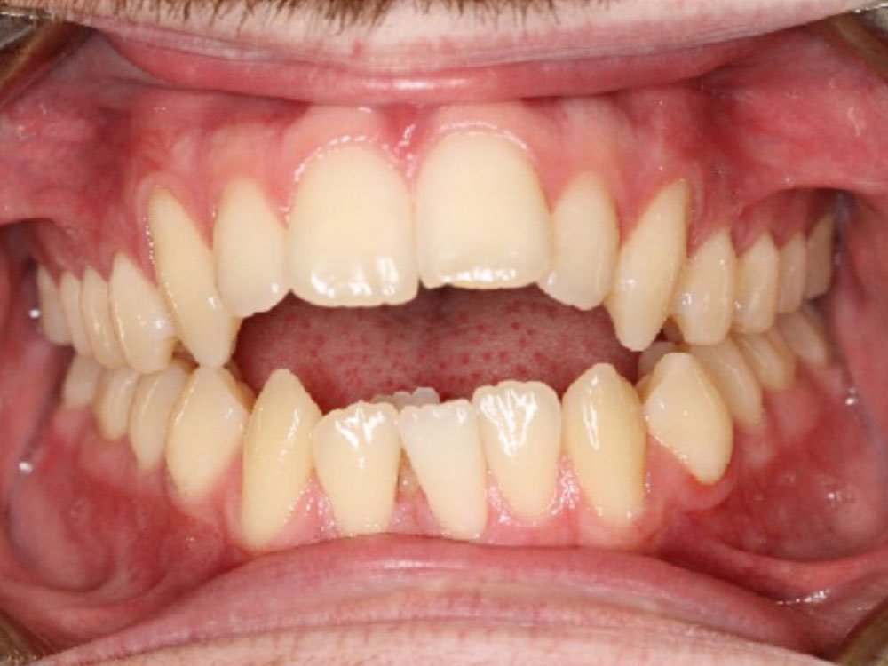
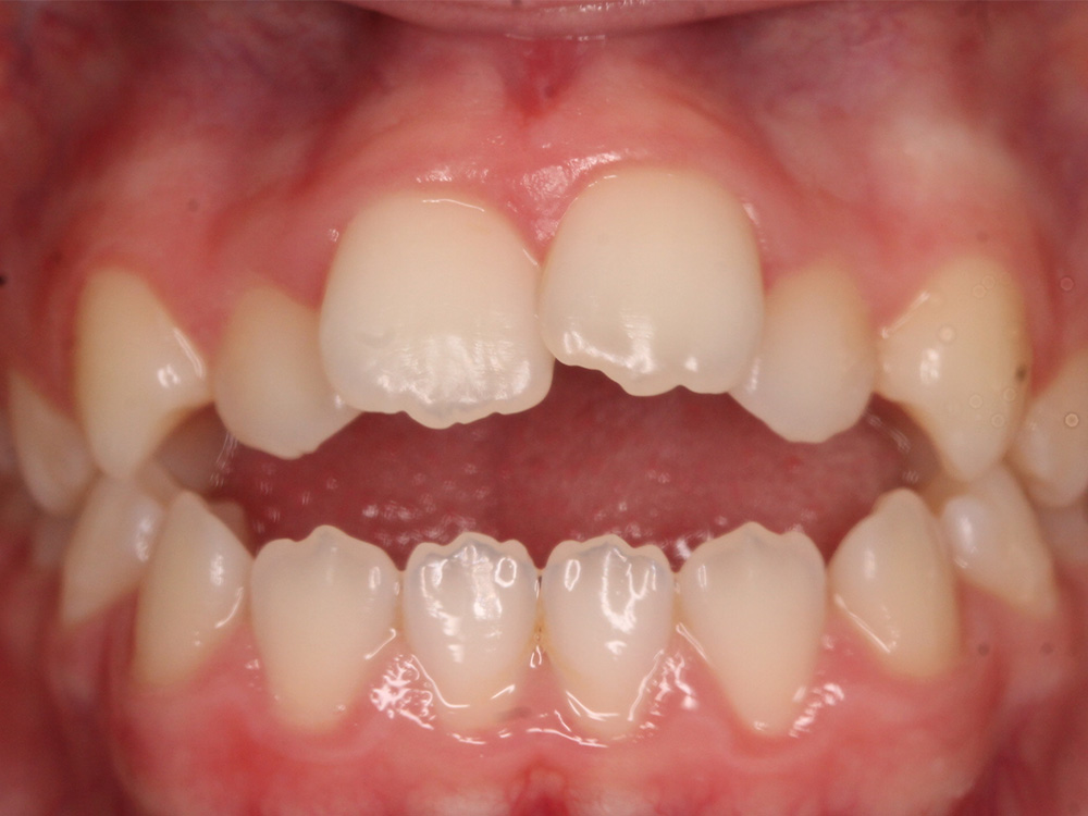
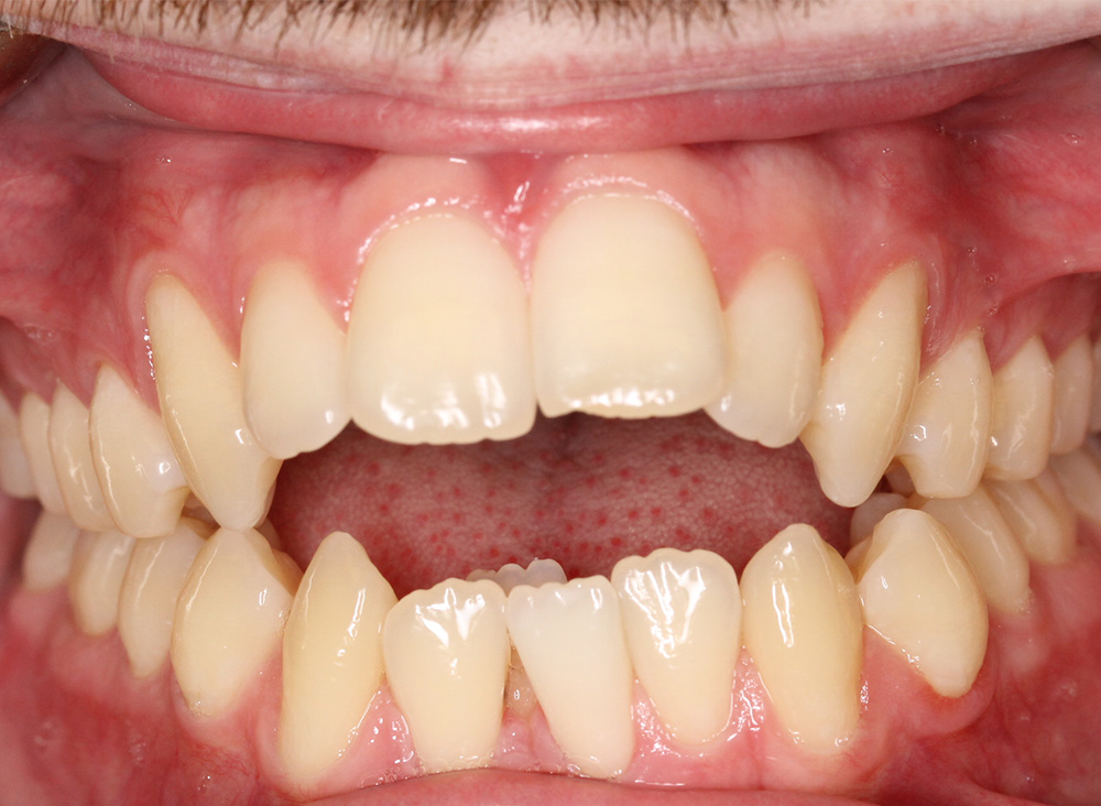
Anterior open bite - when biting together, the teeth meet at the back but not at the front.
Before After
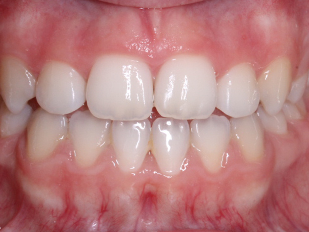
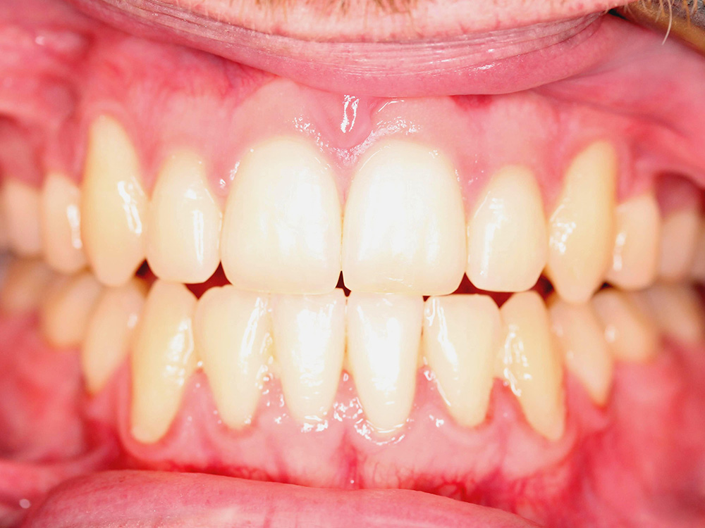
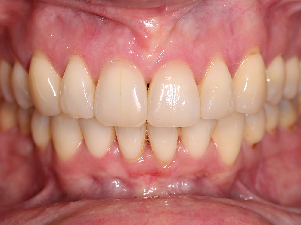
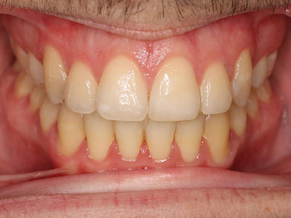
Correction of deep overbite and overcrowding with the use of upper and lower fixed appliances.
Before After
This patient had a significant open bite which was treated with upper and lower fixed braces in association with extractions and mini implants to lift the upper back teeth up, to close the front open bite without using major jaw surgery. This means he can now bite into food fully with the front teeth.
Before After
This severe anterior open bite was treated with mini implants and orthodontic braces without the need for jaw surgery
Before After
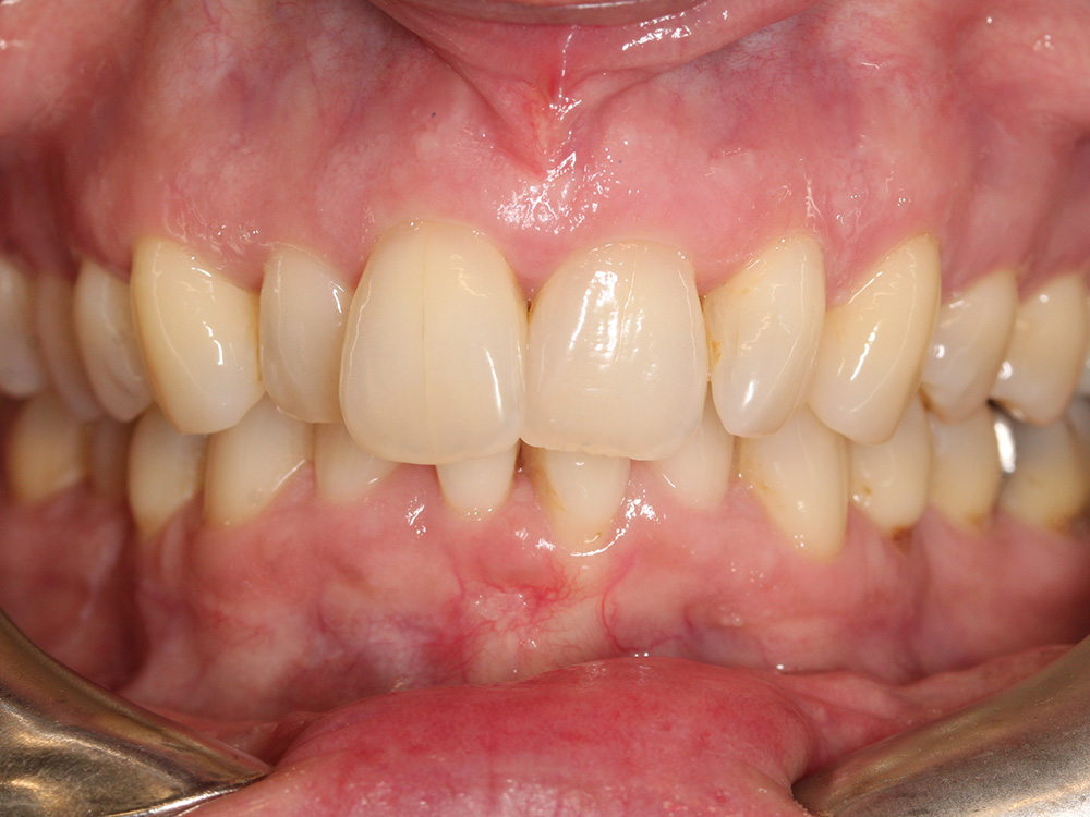
Deep overbite
Before After
Overcrowding
1 2 3 9