At The Specialist Orthodontic Referral Centre, we help each of our patients get the best possible orthodontic treatment.
David Gale is a trained, experienced dentist who has completed additional qualifications and training to become a specialist orthodontist. He is passionate about his work and he and his team are dedicated to achieving amazing results. David and his team have treated over 26,000 patients so far at our practice.
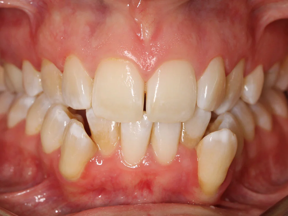
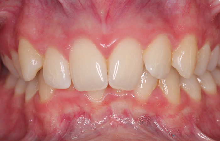
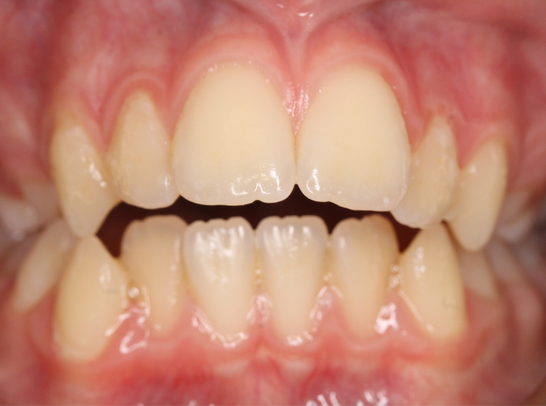
A selection of our past cases is shown below.
Book a consultation



































Let us help you with our specialised orthodontic care.
Our friendly and welcoming team are waiting to hear from you!