Book your consultation
location icon email icon phone icon
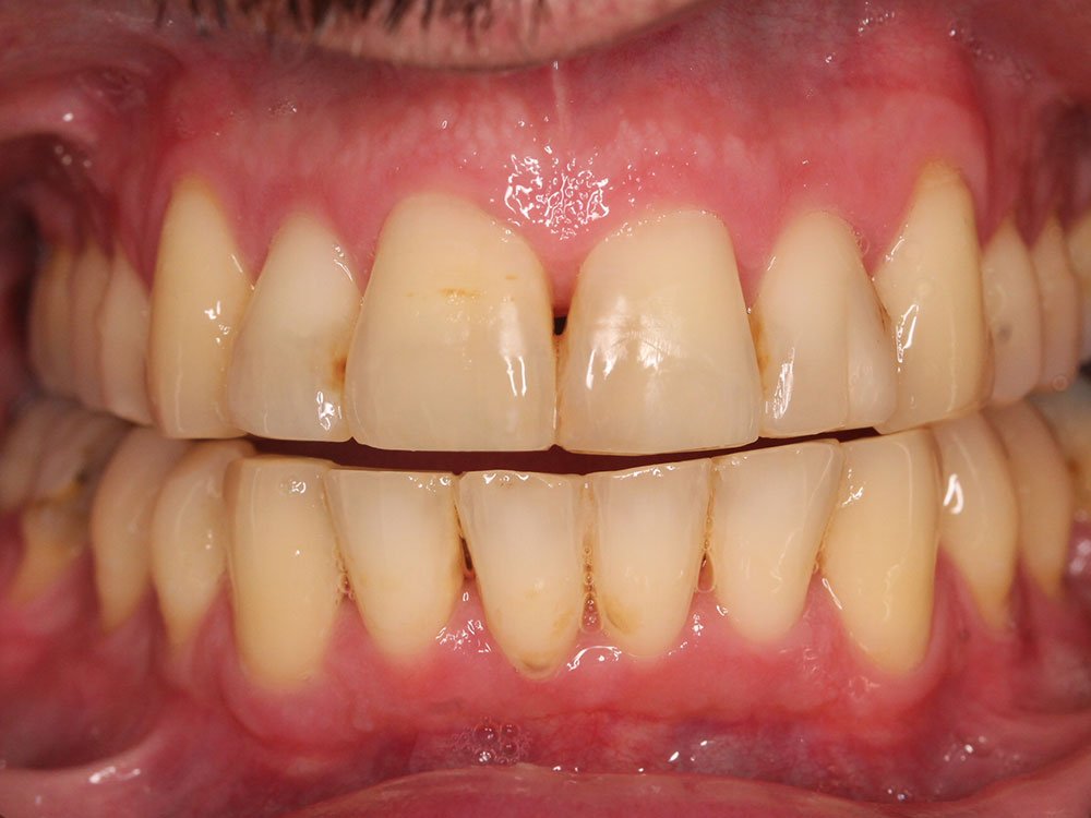
Before After
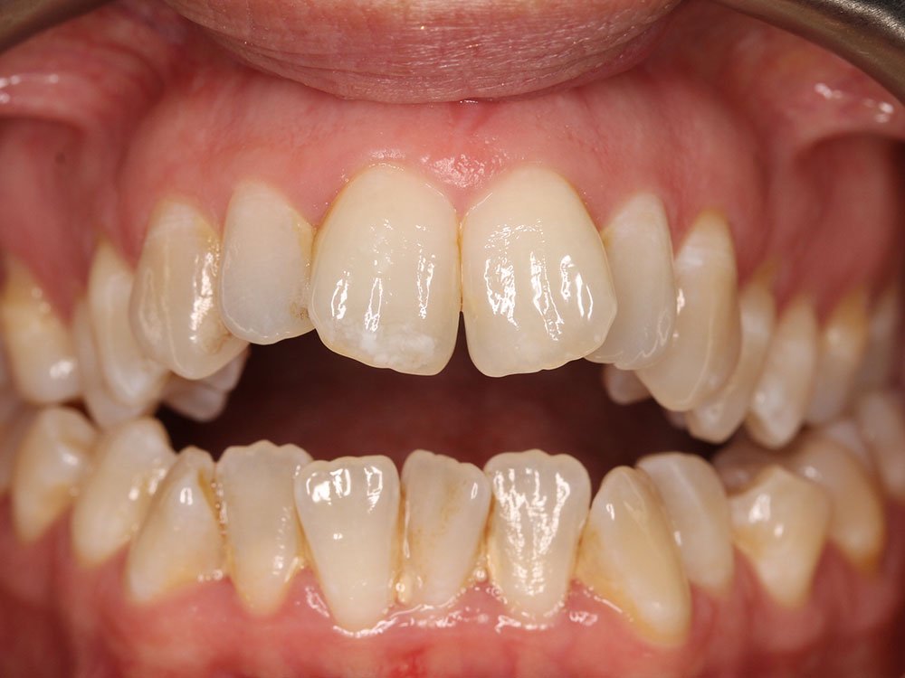
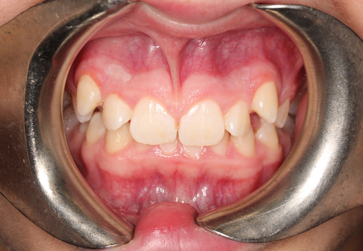
Sticking out top teeth and overcrowding
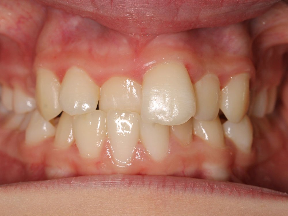
Before After
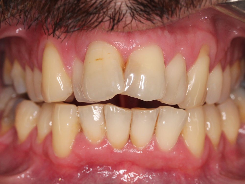
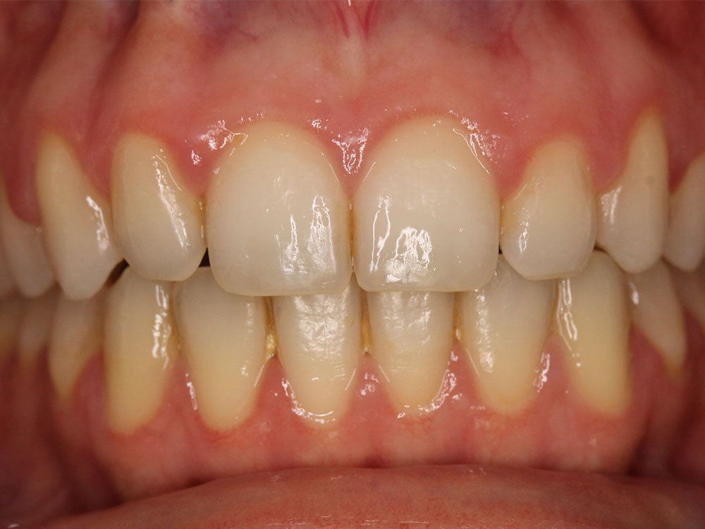
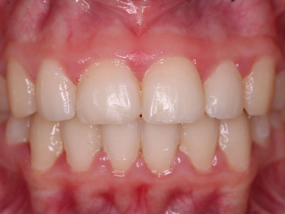
Tooth inside the bite
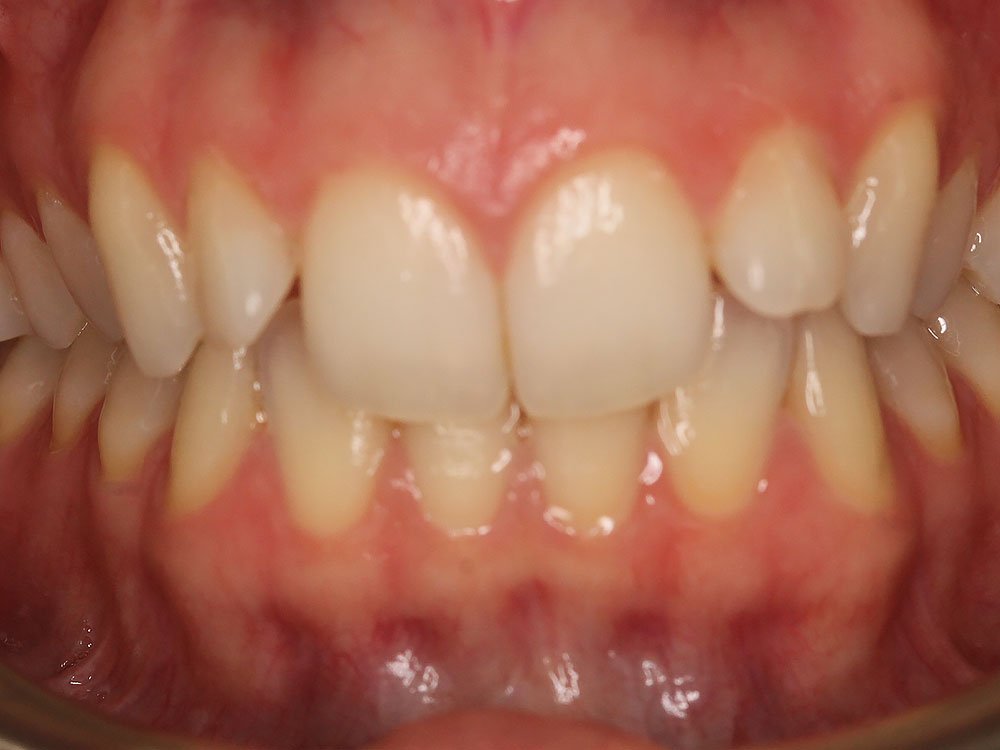
Before After
Teeth at front not touching, anterior open bite, commonly from digit sucking or dummy
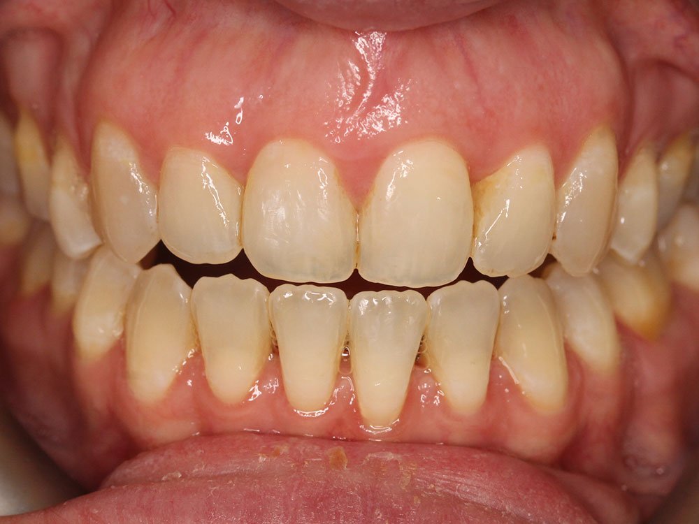
Before After
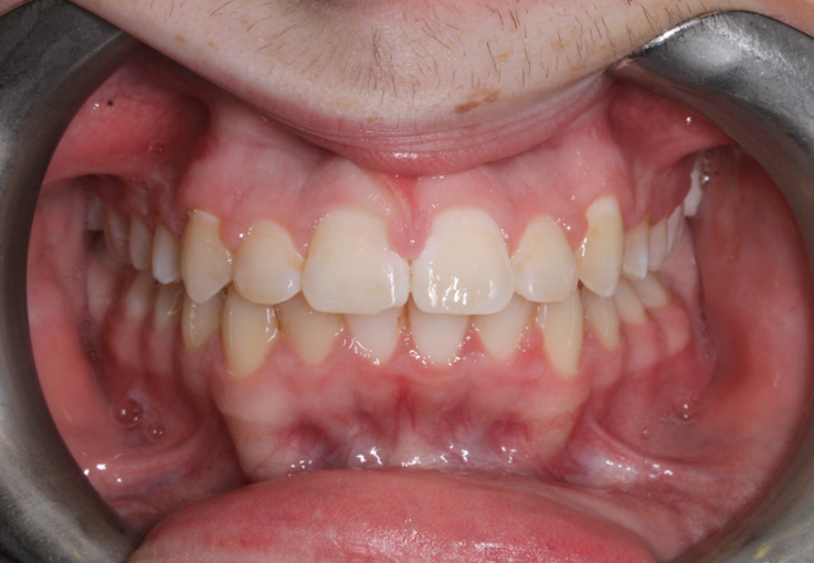
Deep over bite
Before After
Overcrowding on lower
Before After
Before and after