Book your consultation
location icon email icon phone icon
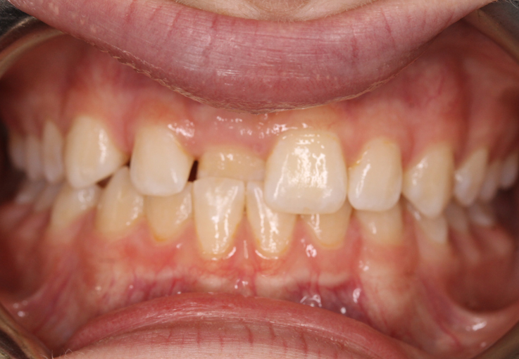
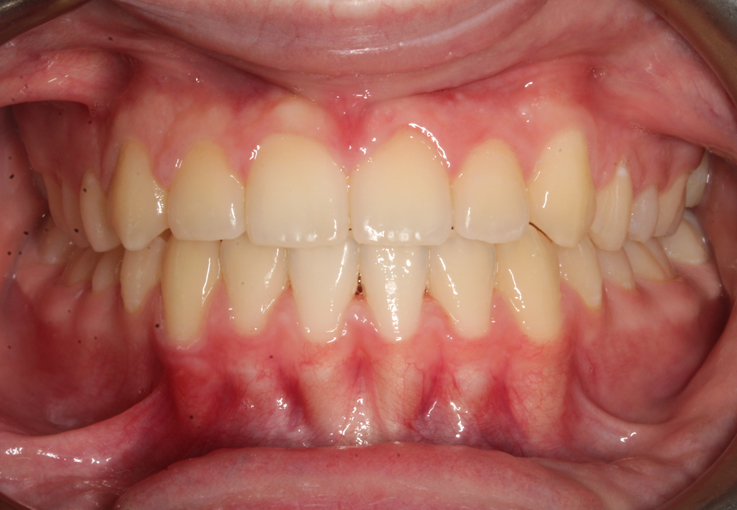
Before After
Before and after
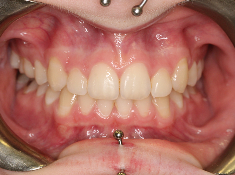
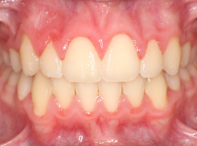
Before After
Before and after
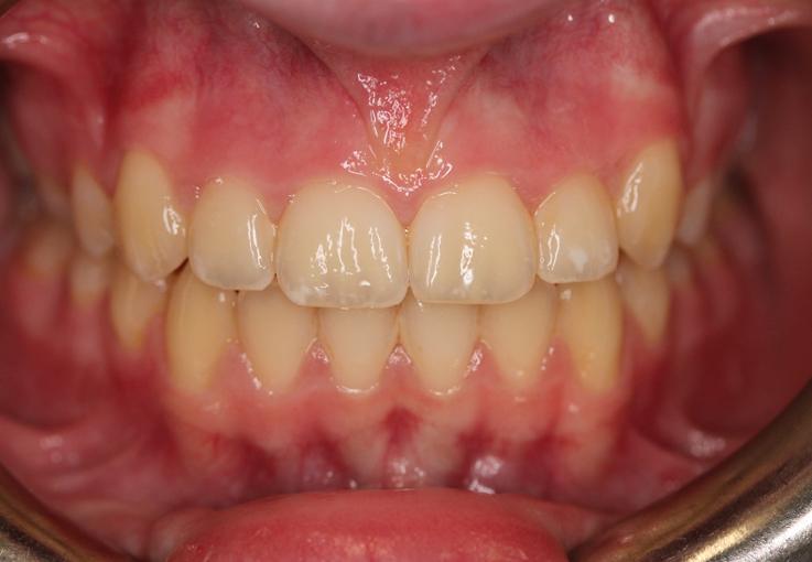
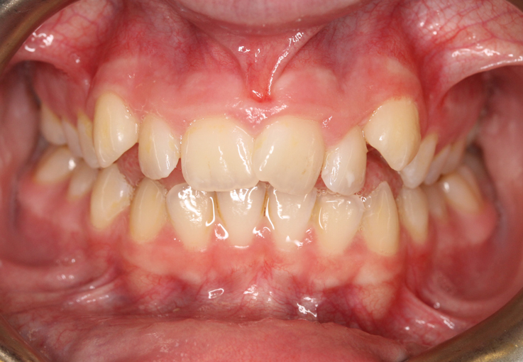
Before After
Before and after
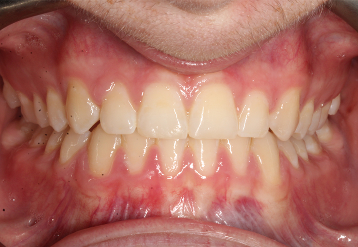
Before After
Before and after
Before After
Before and after
Before After
Before and after