Book your consultation
location icon email icon phone icon
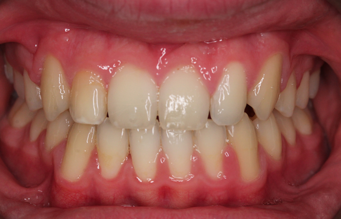
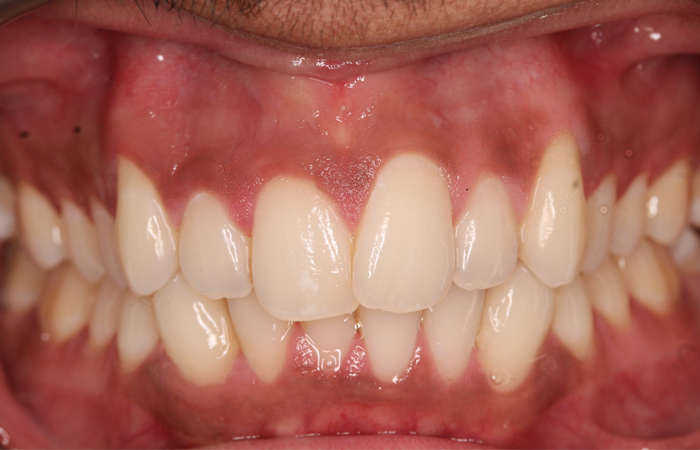
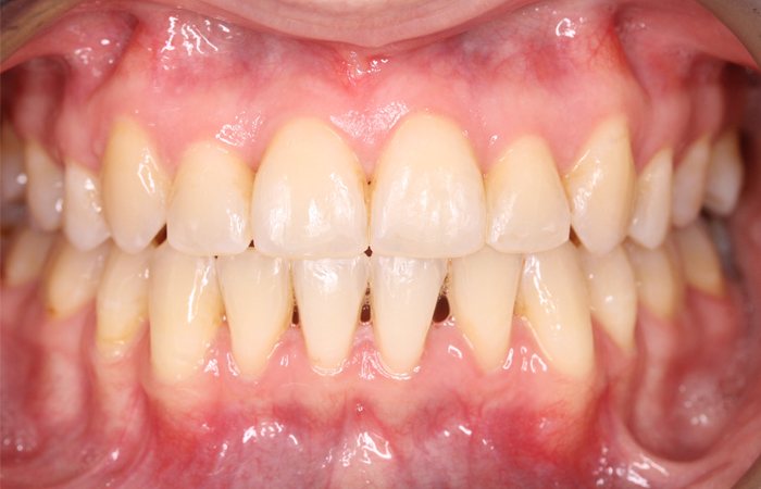
Before After
Correction of mild crowding.
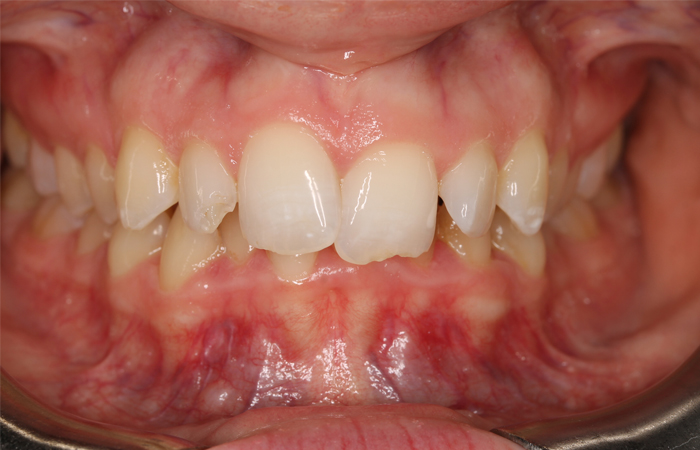
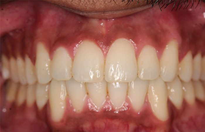
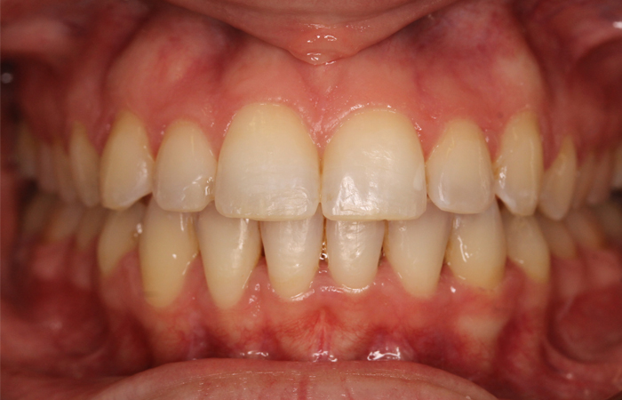
Before After
Correction of mild crowding with the use of Invisalign.
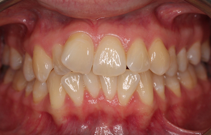
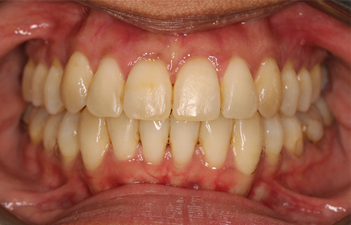
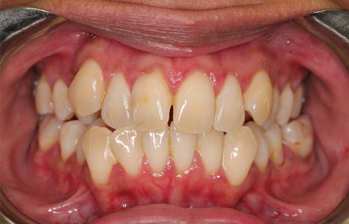
Before After
Crowding corrected and overbite correction to avoid wear on opposing teeth.
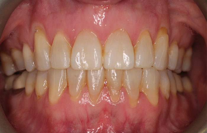
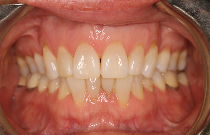
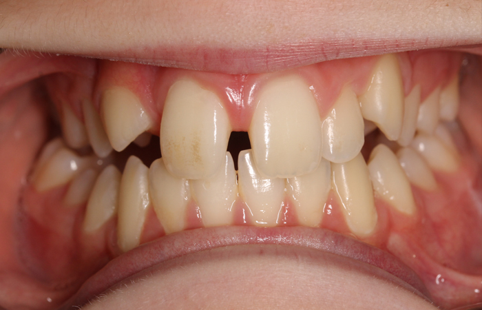
Before After
Correction of crowding and cross bites without extractions.
Before After
Severe crowding - four teeth removed to bring the smile back
Before After
Severe crowding - one extraction needed.