Book your consultation
location icon email icon phone icon
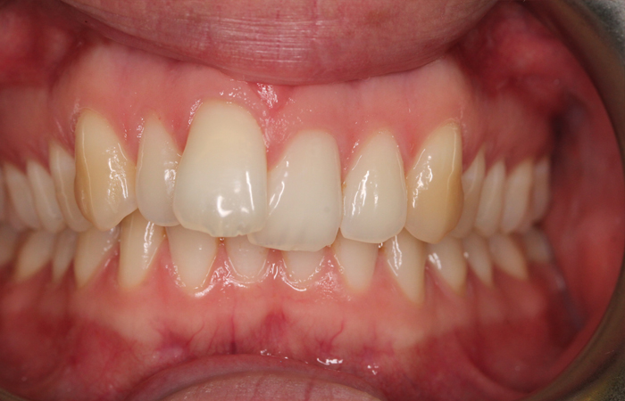
Before After
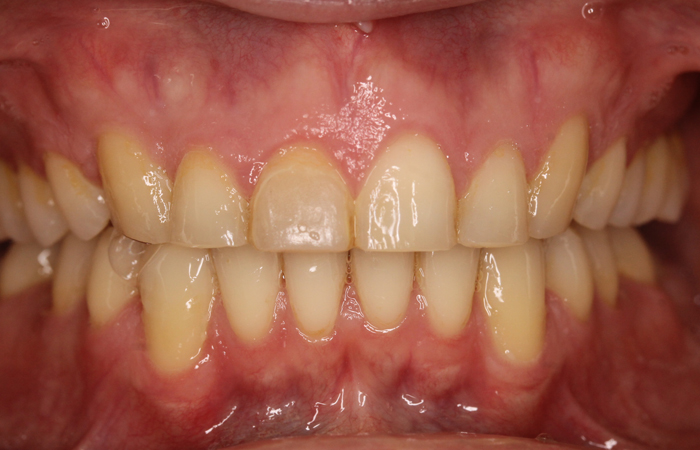
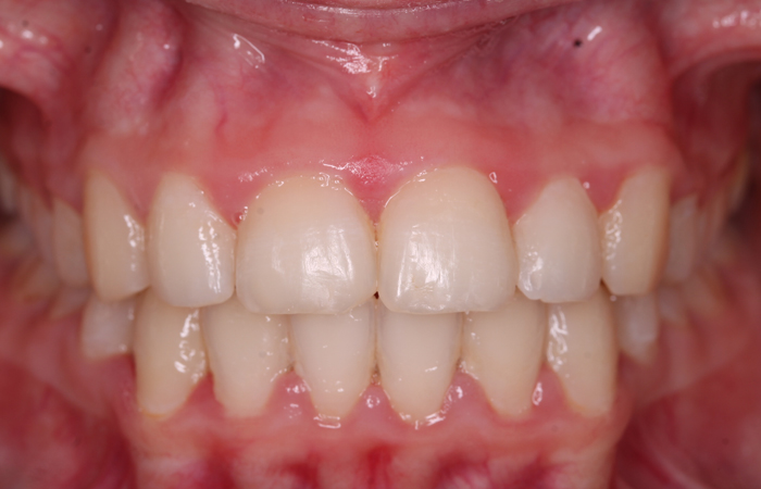
Crowding case resolved non extraction.
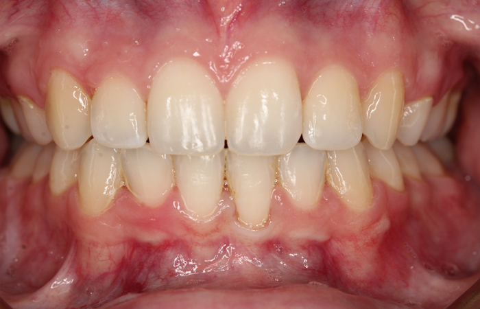
Before After
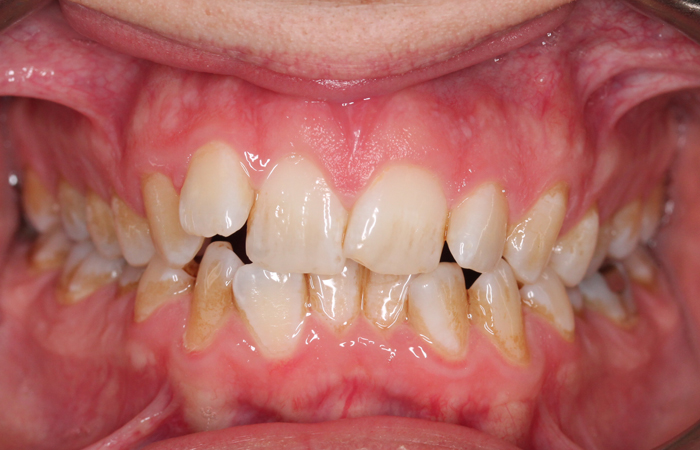
Crowding was corrected creating an even bite.
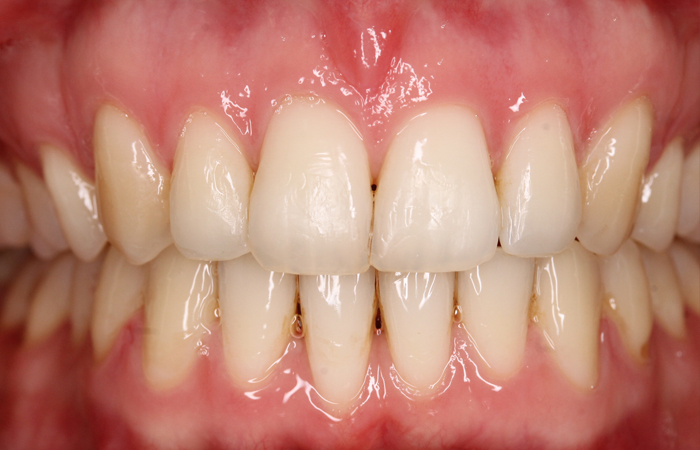
Before After
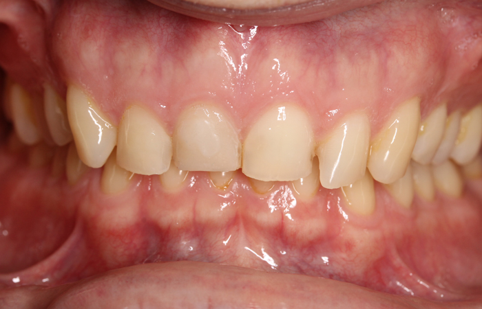
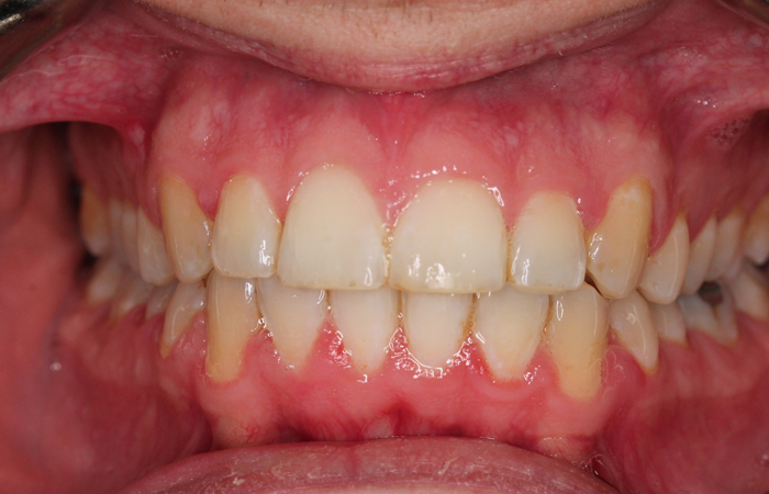
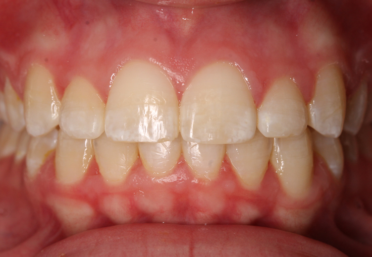
Upper and lower crowding.
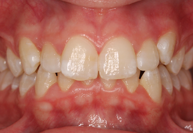
Before After
Deep overbite with 2 premolars removed to reduce the overjet.
Before After
Deep bite correction to prevent wear of opposing teeth and correction of crowding.
Before After
Correction of very deep overbite.