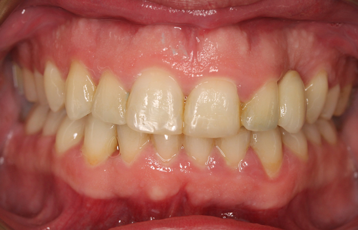
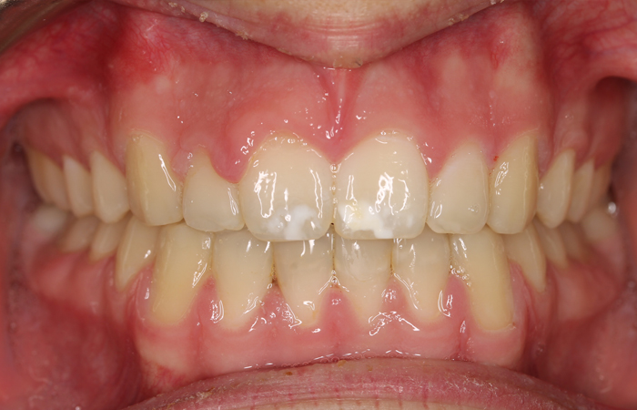
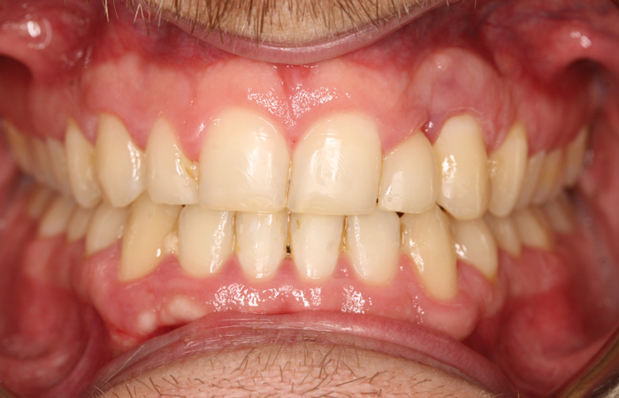
Correction of deep bite and crowding which was causing tooth wear, so that general dentist could then repair the worn teeth.
Deep bite, crowding and tooth wear, bite correction so lower incisors can be rebuilt by general dentist.
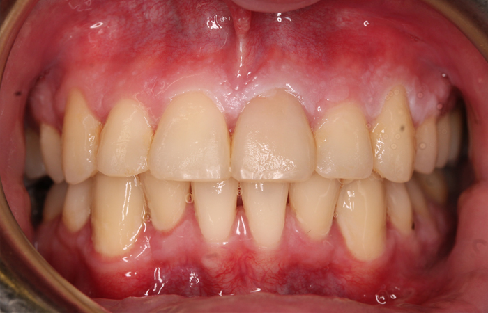
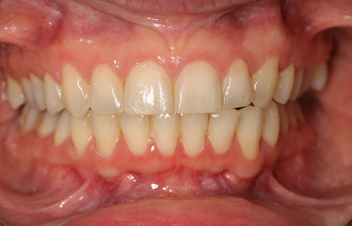
Correction of deep bite and crowding which was causing tooth wear, so that general dentist could then repair the worn teeth and fit an implant UL3 once the deep bite was corrected. Must use 23/10/15 post restorative photos.
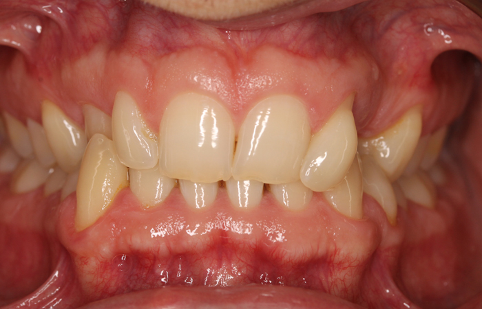
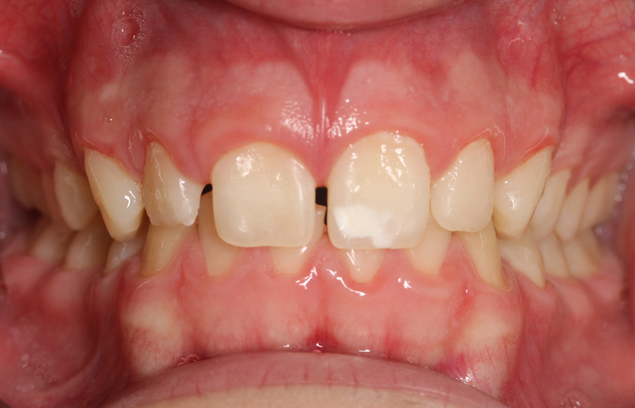
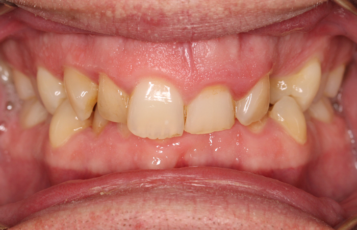
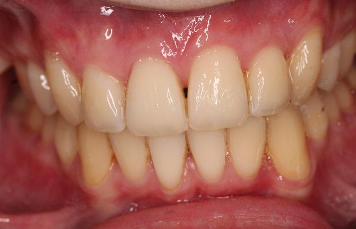
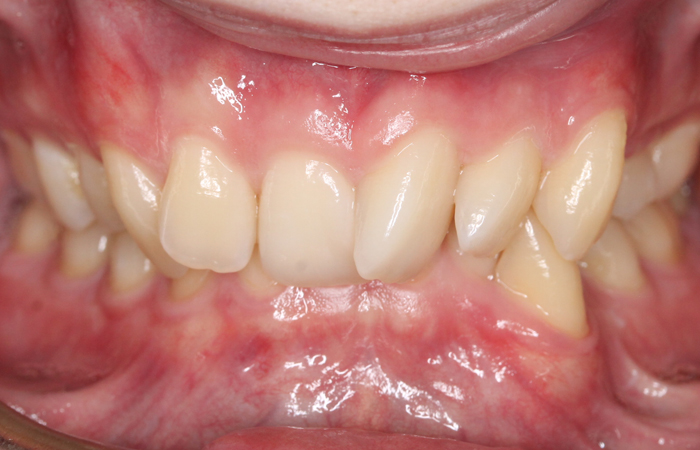
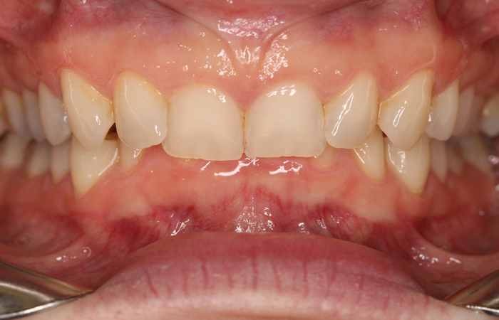
Crowding and deep bite correction to avoid incisor wear over time. Bringing UL3 into line.
Crowding and deep bite correction to avoid incisor wear over time.
Crowding and deep bite correction to avoid incisor wear over time.