Book your consultation
location icon email icon phone icon
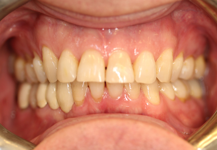
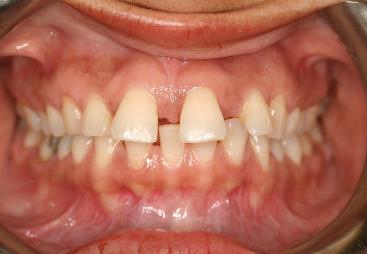
Before After
Pre-restorative orthodontics to help correct the bite and tooth positions, to help the general dentist fit bridges. - must use photos 13/10/23 for the post op after restorations done but before relapse
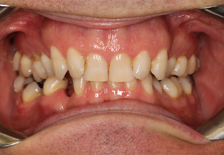
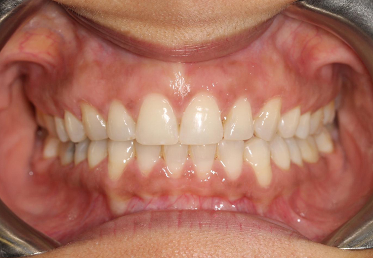
Before After
Closure of spaces and reduction of overjet
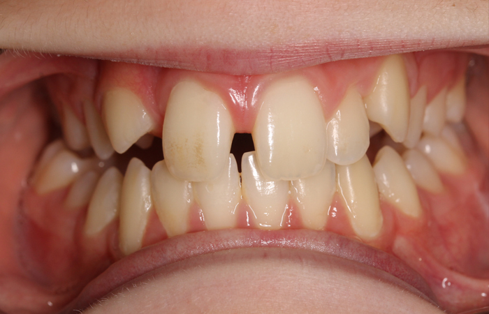
Before After
Severe crowding - one extraction needed
1 7 8 9